The permanent, natural-looking solution for missing teeth with expert surgical precision.
Missing teeth can impact your confidence and your health. At RJ Luxe Dental, we offer the gold standard for tooth replacement: Dental Implants. Led by Dr. Jayti Shah, our implant procedures are designed to provide a stable, long-lasting foundation for a beautiful smile that looks, feels, and functions exactly like your natural teeth.
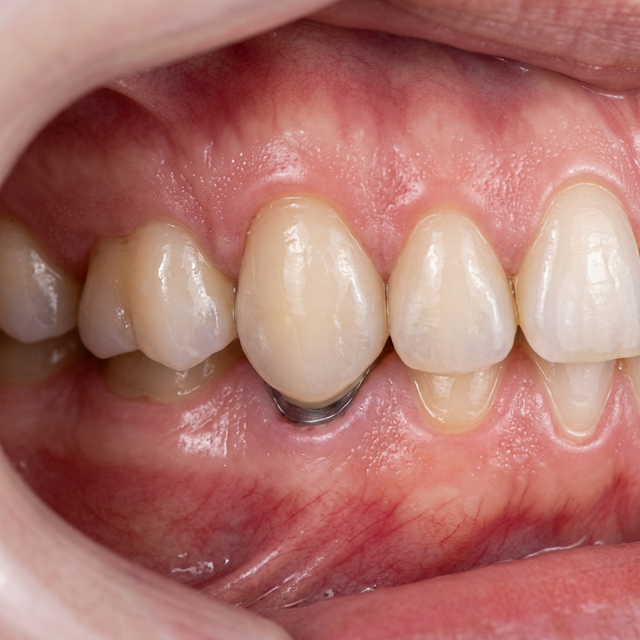
We use premium biocompatible titanium posts that fuse with your jawbone in our Ahmedabad clinic, preventing future bone loss and maintaining your facial structure. Whether you need to replace a single tooth or require a full-mouth restoration, our precise placement techniques ensure a comfortable journey and outstanding aesthetic results.
We use local anesthesia during the placement procedure, so you won't feel pain. Post-procedure discomfort is typically minimal and easily managed with over-the-counter pain medication.
The entire process can take anywhere from a few months to over half a year. This depends on whether you need bone grafting and how quickly your jawbone heals and fuses with the implant before the final crown can be placed.
Most patients are candidates for implants as long as they have healthy gums and sufficient bone to anchor the implant. If you lack bone density, bone grafting may be an option to rebuild it.
A single dental implant costs INR 25,000 to INR 60,000 for the implant post, plus INR 10,000 to INR 25,000 for the crown. Premium systems may cost more. RJ Luxe Dental offers transparent pricing and flexible payment plans.
With proper care, dental implants can last a lifetime. The titanium post fuses permanently with jawbone. The crown on top may need replacement after 10 to 15 years. Regular checkups help ensure long-term success.
Dental implants have a 95 to 98 percent success rate when placed by an experienced dentist. Factors include oral hygiene, smoking habits, overall health, and jawbone quality. Proper aftercare is crucial for survival.
Smoking significantly increases implant failure risk by reducing blood flow and slowing healing. While possible, Dr. Jayti Shah strongly recommends quitting smoking at least 2 weeks before and 8 weeks after the procedure.
Implants are standalone replacements that preserve bone and dont affect adjacent teeth. Bridges require grinding healthy neighboring teeth. Implants last longer but cost more initially than bridges.
Bone grafting is needed when jawbone is insufficient to support an implant, commonly after prolonged tooth loss. Not all patients require it. Dr. Jayti Shah will determine this during a CT scan evaluation.
Care for implants like natural teeth: brush twice daily, floss daily, visit the dentist every 6 months. Avoid chewing very hard objects. Implants cannot get cavities but surrounding gums need regular care.
Yes, options include All-on-4, All-on-6, or individual implants. Dr. Jayti Shah will recommend the most cost-effective and clinically appropriate solution for full-mouth restoration.
Initial healing takes 1 to 2 weeks with mild swelling. Complete bone fusion takes 3 to 6 months. A temporary crown may be placed during healing. Most patients return to normal activities within 2 to 3 days.
Most dental insurance plans in India do not fully cover implants. Some corporate health plans may offer partial coverage. RJ Luxe Dental provides flexible EMI options and can help with insurance documentation.
Schedule a diagnostic consultation with Dr. Jayti Shah and we will customize a treatment plan just for you.